【記者陳雅芳/彰化報導】謝姓女教師5年前沒有懷孕,卻常常分泌大量乳汁,生活很困擾,後來確診是腦下垂體良性腫瘤,以藥物改善,5年後腫瘤大到壓迫視神經,視野大縮,只能看到前方,她到衛福部彰化醫院就醫,神經外科主任趙紹清透過鼻內視鏡微創手術切除腦下垂體腫瘤,症狀已獲得改善。
▲趙紹清說,這起個案就是因為腦下垂體腫瘤引起泌乳激素大量分泌。
(圖/記者陳雅芳攝,2021.09.07.)
謝女(38歲)表示,5年前他月經不規則,突然間還大量分泌乳汁,但她並沒有懷孕,顯然乳汁的分泌不正常,而且內衣一再濕掉,弄得很不舒服,她彰化醫院就醫,確診為腦下垂體腫瘤,因為是良性瘤,吃藥控制荷爾蒙,但容易因此不孕,她和醫師配合控制藥量,後來有幸懷孕,也生下孩子。
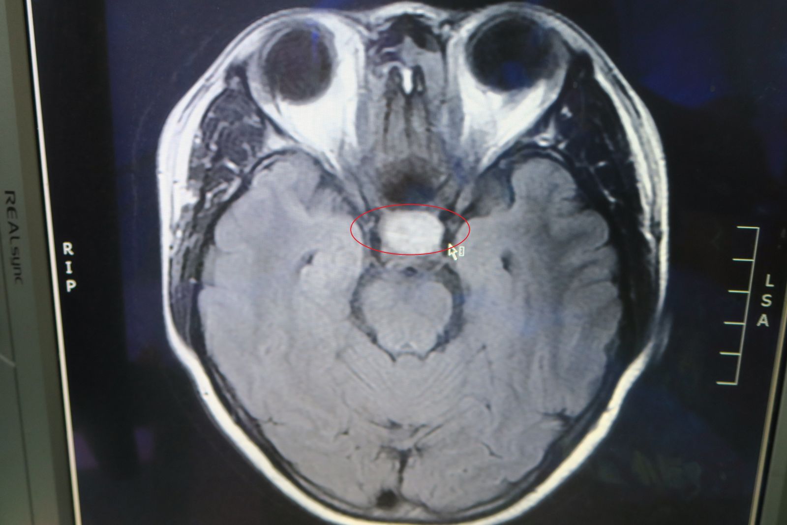
▲彰化醫院神經外科主任趙紹清發現謝女腦下垂體腫瘤變大,紅圈處為腦下垂體腫瘤。
(圖/記者陳雅芳攝,2021.09.07.)
謝女說,今年中旬她開始感覺到眼睛不對焦,兩側視野不見了,她一開始還以為是老花眼,調侃自己不到40歲就老了,但後來眼壓升高,眼睛痛並引起頭痛,還多次去按摩,但沒有改善,回醫院檢查才發現腦下垂體腫瘤變大,壓迫到視神經,才引起眼睛的諸多問題。
▲彰化醫院神經外科主任趙紹清透過核磁共振追蹤腫瘤狀況。
(圖/記者陳雅芳攝,2021.09.07.)
趙紹清指出,腦下垂體位於腦部最底部的位置,控制身體的內分泌,這起個案就是因為腦下垂體腫瘤引起泌乳激素大量分泌,但因為只有1公分大,所以先觀察不開刀,用荷爾蒙抑制藥劑治療,減少患者的泌乳激素分泌。
趙紹清說,經腦部核磁共振儀每年追蹤檢測患者,5年後患者的腫瘤已經大到2公分,還壓迫到視神經,進而影響視力,兩眼靠近外側的視野已經變小,一定要手術去除腫瘤,如果不處理,不僅生活中處處是危險,當神經壓迫越來越嚴重,眼睛還有可能失明,屆時再處理可能來不及了。
▲手術後,謝姓女教師用全新的眼睛視野進行她喜愛的紙雕創作,專程到醫院將作品送給趙紹清感謝他。
(圖/記者陳雅芳攝,2021.09.07.)
趙紹清表示,手術不採取破壞範圍大的傳統開顱手術,而是經鼻腔內視鏡切除腫瘤,利用3D立體影像導航系統準確定位,內視鏡從鼻孔進入,在手術中特別以神經監測儀監測,當神經有任何損傷可能時,監測儀馬上警告,以確保患者的神經不受傷害。
立即加入【觀傳媒】官方帳號https://lin.ee/q2kd3ut精彩新聞不漏接!










