(觀傳媒彰化新聞)【記者陳雅芳/彰化報導】49歲林姓企業家日前接受低劑量電腦斷層肺癌篩檢(LDCT),意外發現心血管鈣化嚴重。進一步檢查顯示,他的三條主要冠狀動脈狹窄達 85%至100%,處於急性心肌梗塞高風險。衛福部彰化醫院心臟科醫師李學林立即以最新「血管內震波碎石術(IVL)」治療,成功將頑固鈣化斑塊擊碎,並置入三支支架,使血流順暢恢復。

這是彰化醫院引進 IVL 技術後的第一例成功案例。林先生康復後,捐贈 108萬元給彰化醫院,指定用於幫助經濟困難的病患使用 IVL 新技術。林先生低調表示,自己只是「受神明指示,要給李醫師手術」,希望藉由善舉回饋社會。事實上,他自109年起每月持續捐贈5萬元予彰化醫院社救基金。
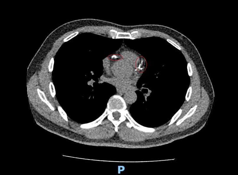
李學林指出,林先生原本僅做 LDCT 篩檢肺癌,卻意外發現血管鈣化;再進一步進行冠狀動脈電腦斷層檢查(CCTA),才確認三條血管內鈣化狹窄達 85%以上。李學林表示:「若延誤治療,林先生隨時可能發生急性心肌梗塞,情況相當危險。」

醫療團隊透過心導管搭配 IVL 技術治療,利用震波氣球貼近血管壁發出超聲壓力波,將血管內堅硬鈣化斑塊震碎,使血管恢復彈性,並順利植入三支支架,降低血栓及再狹窄風險。
李學林說,臨床約三成冠狀動脈疾病患者伴隨中重度鈣化。傳統治療如切割球囊或旋磨術雖可處理鈣化,但對血管衝擊較大;IVL 技術較溫和,降低血管破裂與剝離風險,安全性更高,但尚未納入健保給付。
林先生本身有三高、家族史及吸菸習慣,屬典型心血管高風險族群,雖未發生急性心肌梗塞,但血管阻塞已悄悄累積。李學林表示,這次肺癌篩檢發現心血管鈣化,可說是「意外的及時預警」。

李學林提醒,觀察心血管鈣化可透過冠狀動脈電腦斷層檢查(CCTA),快速且無侵入性,但費用較高。若先做 LDCT,除了肺癌篩檢,也可掌握心血管鈣化情況,是健檢附加價值。
政府目前補助肺癌家族史或重度吸菸史高風險族群,每兩年一次免費 LDCT;一般民眾則可自費加入此檢查,已成健檢新趨勢。李學林強調:「提早發現鈣化,能在心肌梗塞發生前搶救治療時機。」




