
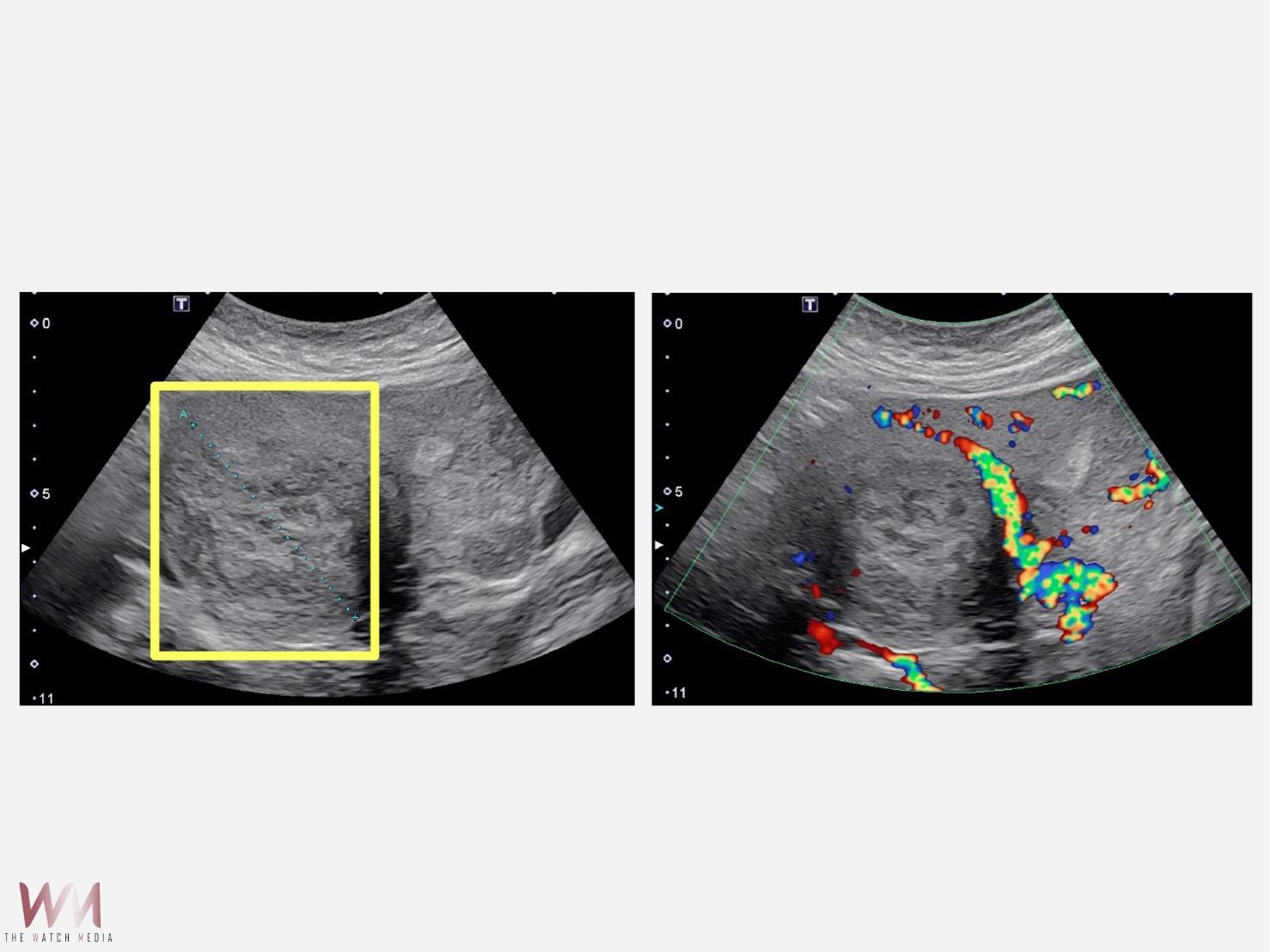
(觀傳媒中彰投新聞)【記者廖妙茜/台中報導】45歲的魏女士因為近半年來出現下腹部悶痛,所以到仁愛長庚合作聯盟醫院(大里仁愛醫院)婦產科林玉珊醫師門診求診,檢查後發現有下腹部悶痛合併壓迫症狀,竟然有7公分的肌瘤。經採用達文西機械手臂系統結合經陰道自然孔手術,於術後一週後即返家休養。由於手術並未在腹部留下傷口,讓魏女士感到非常驚訝,林玉珊醫師表示,傷口只是藏在看不到的地方,這不只是手術傷口變小,更代表病人能更快回到自己的生活與角色中。
林玉珊醫師指出,傳統腹腔鏡手術雖屬微創方式,但仍需在腹部開設多個小切口。經陰道自然孔手術是利用陰道作為自然通道進入骨盆腔,完全免除腹部傷口。第四代達文西機械手臂系統的高解析3D影像讓骨盆腔結構更清楚,機械手臂能在極狹小的空間中完成精細的分離與縫合。病人出血量少、疼痛感輕微,大多數人隔天即可下床,恢復速度比傳統手術明顯更快。

林玉珊醫師說,經陰道自然孔手術雖創傷小,但傳統操作對醫師姿勢與體力要求高。第四代達文西機械手臂系統讓醫師能以坐姿操作控制台,透過細微手指動作即可精準帶動機械手臂。在手術過程中鏡頭穩定、視野清晰,醫師不再需要長時間維持高強度姿勢,能把專注力放在每個細節上,這讓手術更安全,也更優雅。
林玉珊醫師表示,她與院內婦癌及婦女泌尿科醫師密切合作,依據不同病症選擇最適合的手術方式。第四代達文西機械手臂系統讓醫師能在同一系統下執行多種婦科手術,從良性腫瘤切除到婦癌手術、婦女泌尿手術,都能更精確、出血更少,這對病人與醫師都是雙贏。而經陰道自然孔手術主要適用於子宮全切除、特定位置的激流切除及卵巢相關手術,可在沒有腹部傷口的情況下完成治療。

林玉珊醫師強調,仁愛長庚合作聯盟醫院(大里仁愛醫院)婦產科擁有具達文西手術專長的團隊,涵蓋婦科腫瘤、泌尿婦科與微創手術等領域,結合長庚體系的專業支援與第四代達文西系統,持續推動中部地區婦女微創照護的升級,也希望讓婦科手術不只是治療疾病,更是幫助病人以最短時間回到健康與生活的過程。






