(彰化新聞)【記者陳雅芳/彰化報導】B肝名列國病多年,不少B肝患者因無症狀而疏於追蹤,53歲的詹姓男子輕忽B肝,10多年未追蹤竟已是晚期肝癌,腫瘤並已侵犯肝門靜脈,不適合換肝,他心灰意冷。衛福部彰化醫院腫瘤中心主任宋時雨勸他安心治療,透過口服標靶藥物加上呼吸調控放射線治療的方式,1個月後,肝門靜脈的腫瘤幾乎都消失了,重燃換肝希望。

▲電腦斷層顯示患者10公分大的肝腫瘤。
(圖/記者陳雅芳翻攝,2022.08.11)
宋時雨表示,詹先生是B肝患者,因為沒症狀就沒有追蹤,直至今年中覺得肚子脹脹、悶悶的,檢查發現其右肝部位出現10公分大的腫瘤,並已經擴散到肝門靜脈,診斷為3B期。
▲彰化醫院為病患採用呼吸調控放射線治療。
(圖/記者陳雅芳翻攝,2022.08.11)
宋時雨說,患者的哥哥多年前也罹肝癌,經過肝臟移植後,目前過得很好,這讓患者認為換肝就能處理他的肝癌,但他到了多家醫學中心,醫師都認為即使換肝,肝門靜脈的癌細胞還是會擴散過來,換肝並不可行,但他又執著於換肝,在各大醫院間穿梭,無法進入換肝評估,讓詹先生心生放棄之念。
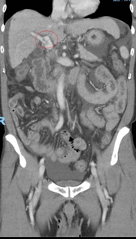
▲B肝沒症狀沒追蹤擴散到肝門靜脈的腫瘤。
(圖/記者陳雅芳翻攝,2022.08.11)
宋時雨指出,肝門靜脈將營養送進肝臟,是供應肝臟養分的主要命脈,肝癌細胞只要侵犯肝門靜脈就屬於第三期,容易引發肝內癌轉移及遠處器官轉移,治療更加困難。
宋時雨說,他請詹先生不要放棄希望,建議先處理肝門靜脈的腫瘤,透過精準定位的呼吸調控放射線治療及口服標靶藥物,希望能將此處的癌細胞消滅,屆時就可以進入肝臟移植或腫瘤栓塞治療。
▲經過1個多月15次放療之後,肝門靜脈的腫瘤幾乎消失。
(圖/記者陳雅芳翻攝,2022.08.11)
宋時雨表示,呼吸調控放射線治療是利用氣閥和口含吸管讓患者閉住呼氣,減少腫瘤隨著呼吸移動,患者自己手持按鈕,在閉氣時將放射線施予腫瘤位置,因此可提高放射劑量,確保每次治療都能夠準確破壞腫瘤,避免傷害正常組織。經過1個多月15次放療之後,詹先生的肝門靜脈腫瘤幾乎消失了,也順利地進入外科手術評估,目前正評估肝臟移植及腫瘤栓塞治療,詹先生也不再心灰意冷,重燃一絲希望。
▲彰化醫院為病患採用呼吸調控放射線治療。
(圖/記者陳雅芳翻攝,2022.08.11)
宋時雨強調,此個案凸顯了2個健康課題,首先,衛福部估計全台約有180萬B肝帶原者,這些人一定要定期每半年追蹤一次,一有異狀即可早期治療,避免走到肝癌晚期才發現的命運。
《觀傳媒》提醒您:防範新冠肺炎,應使用肥皂勤洗手,出門務必戴上口罩!如有發燒、咳嗽等不適症狀,請主動通報,並撥打「1922」專線,或「0800-001922」。










